Página InicialServiçosSolicitação On-lineDúvidasLocalizaçãoFale Conosco
 
Clique nas imagens p/ampliar

zoom


zoom


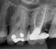
Radiografia Periapical
A rodiografia periapical é a mais utilizada na odontologia. Focada em pequenas regiões da boca, e do periápice dos dentes as radiografias periapicais oferecem ao cirurgião dentista detalhes importantes no diagnóstico das condições periodontais e do periapice dos dentes. Muitas vezes essas radiografias podem servir de complemento à radiografia panorâmica.

As radiografias periapicais realizadas na SCAN utilizam o sistema Digora Optime, o mais eficiente método de aquisição de imagens intra-orais digitais disponível atualmente, oferecendo conforto e rapidez na realização deste exame.
Indicações:

• Avaliação da região de periápice

* A região de periápice muitas vezes é acometida por infecções provenientes de lesões que começaram na cavidade bucal, a avaliação destas regiões é imprescindível ao plano de tratamento.

* A condição da região de periápice muitas vezes traduz a condição em que se encontram os nervos e vasos constituintes da polpa dentária, auxiliando a conduta a ser adotada pelo cirurgião dentista.

zoom

zoom
Radiografia Interproximal
Indicações:

• A radiografia interproximal é a tomada radiográfica mais indicada para avaliação de cáries. A dificuldade do cirurgião dentista em ter acesso visual às faces interproximais do dentes (parte do dente que encosta no dente vizinho) leva-o a fazer uso desta imagem para avaliar a presença ou não de cáries nestas regiões.

• Também é comum o cirurgião dentista fazer uso de radiografias inter-proximais para avaliação das condições da crista óssea alveolar.
SCAN | Centro de Diagnóstico da Face | Horário de atendimento: Segunda à Sexta das 08h00 as 18h00.
Não é preciso marcar para realizar os exames, no entanto recomendamos o agendamento prévio de levantamento periapical e/ou documentação ortodôntica.
Rua Dr. José Afonso de Melo . 68 . Jatiúca . Maceió/AL | Fone: 2126.0880 / 2126.0881

HOME | SERVIÇOS | SOLICITAÇÃO ON-LINE | DÚVIDAS | LOCALIZAÇÃO | FALE CONOSCO | NOTÍCIAS | EQUIPE