Página InicialServiçosSolicitação On-lineDúvidasLocalizaçãoFale Conosco
 
Clique nas imagens p/ampliar

zoom


zoom


zoom


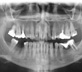
Radiografia Panorâmica
A radiografia panorâmica, como o próprio nome diz, oferece ao cirurgião dentista uma visão ampla das condições dos dentes e osso alveolar, do osso da mandíbula e da maxila, bem como dos seios maxilares. Considerando que 2/3 dos dentes encontram-se imersos no osso alveolar da maxila e mandíbula a avaliação dos mesmos por meio de radiografias é imprescindível ao cirurgião dentista que busca um completo panorama da saúde bucal de seus pacientes.

A SCAN utiliza o Cranex D para obtenção de imagens panorâmicas. Com tecnologia digital de aquisição direta, o Cranex D oferece máximo conforto e muita rapidez na execução dos exames.

A radiografia panorâmica não é o exame ideal para a avaliação de cáries, sendo muitas vezes indicada sua complementação com radiografias interproximais, técnica mais apropriada para observação de lesões de cárie.
Indicações:

• Avaliação inicial de pacientes

* Muitos cirurgiões dentistas solicitam a radiografia panorâmica na consulta inicial para avaliar as condições de saúde bucal atual de seus pacientes.

• Posição dos 3ºs molares

* Muitos pacientes apresentam o 3º molar em posição não funcional ou incluso nos ossos da maxila e/ou mandíbula.
A radiografia panorâmica oferece ao cirurgião dentista a localização dos 3ºs molares, sendo indicada a complementação deste exame com tomografia computadorizada para maior detalhamento destes casos.
SCAN | Centro de Diagnóstico da Face | Horário de atendimento: Segunda à Sexta das 08h00 as 18h00.
Não é preciso marcar para realizar os exames, no entanto recomendamos o agendamento prévio de levantamento periapical e/ou documentação ortodôntica.
Rua Dr. José Afonso de Melo . 68 . Jatiúca . Maceió/AL | Fone: 2126.0880 / 2126.0881

HOME | SERVIÇOS | SOLICITAÇÃO ON-LINE | DÚVIDAS | LOCALIZAÇÃO | FALE CONOSCO | NOTÍCIAS | EQUIPE